ไอเป็นเลือด มีเสมหะปนเลือด เจ็บหน้าอก น้ำหนักลด เหนื่อยง่าย อ่อนเพลีย เบื่ออาหาร เรื้อรังติดต่อกันมากกว่า 2 สัปดาห์ เหล่านี้คือสัญญาณเตือน ‘มะเร็งปอด’ โรคที่คร่าเสียชีวิตของคนไทยมากเป็นอันดับ 2

การตรวจคัดกรองให้พบโรคในระยะแรกทำได้ยาก และมีอัตราการตายสูง สาเหตุสำคัญมาจากการสูบบุหรี่รวมถึงยามวนต่างๆ เป็นสาเหตุสำคัญที่สุดของโรคมะเร็งปอด ผู้สูบบุหรี่อาจมีโอกาสเป็นมะเร็งปอดมากกว่าผู้ไม่สูบถึง 10 เท่า รวมถึงผู้ที่ไม่ได้สูบบุหรี่เองโดยตรง แต่สูดดมจากบุหรี่ที่ผู้อื่นสูบก็มีความเสี่ยงสูงกว่าคนทั่วไป เพราะในควันบุหรี่มีสารก่อมะเร็งมากกว่า 60 ชนิด
นอกจากนี้ยังมีสาเหตุมาจากการได้รับแร่ใยหิน (แอสเบสตอส) เป็นแร่ที่ใช้ในอุตสาหกรรมหลายชนิด เช่นการก่อสร้าง โครงสร้างอาคาร ผ้าเบรค ฉนวนกันความร้อน ผู้เสี่ยงคือผู้ที่อาศัยหรือทำงานอยู่ในสภาพแวดล้อมที่มีแอสเบสตอสปนเปื้อนเป็นเวลานาน อาจใช้เวลา 15-35 ปี ในการทำให้เกิดมะเร็งปอด สำหรับผู้ไม่สูบบุหรี่แต่ทำงานกับฝุ่นแอสเบสตอส อาจเสี่ยงต่อการเกิดมะเร็งปอดมากกว่าคนทั่วไปถึง 5 เท่า ส่วนสาเหตุอื่นๆ คือ มลภาวะเช่น PM 2.5 สารเบนซิน ฟอร์มาลดีไฮด์ เป็นต้น
นพ.สมศักดิ์ อรรฆศิลป์ อธิบดีกรมการแพทย์ เปิดเผยว่า ผู้ป่วยมะเร็งปอดจำนวนมาก ไม่เคยมีประวัติสูบบุหรี่ หรือ แอสเบสตอส มาก่อน ปัจจุบันยังไม่มีแนวทางการคัดกรองโรคมะเร็งปอดที่มีประสิทธิภาพและคุ้มค่า เมื่อผู้ป่วยมีอาการผิดปกติมักจะเป็นโรคในระยะที่ลุกลามไปแล้ว ทำให้การตรวจพบโรคในระยะแรกทำได้ยาก และ มีอัตราตายสูง วิธีที่ดีที่สุดในปัจจุบันจึงเป็นการหลีกเลี่ยงปัจจัยเสี่ยงต่างๆ

ขณะที่นพ.สกานต์ บุนนาค ผู้อำนวยการสถาบันมะเร็งแห่งชาติ กล่าวว่า อาการที่น่าสงสัยว่าอาจเป็นโรคมะเร็งปอดได้แก่ ไอเรื้อรังติดต่อกันมากกว่า 2 สัปดาห์ ไอเป็นเลือดหรือมีเสมหะปนเลือด เจ็บหน้าอก น้ำหนักลด เหนื่อยง่าย อ่อนเพลีย เบื่ออาหาร บางรายอาจมีไข้ต่ำ ๆ หรือมีปอดติดเชื้อซ้ำซาก ซึ่งจริงๆ แล้วอาการเหล่านี้ไม่ได้เป็นอาการที่เฉพาะเจาะจงกับมะเร็งปอดอาจพบในโรคอื่นได้ เช่น วัณโรคปอด หากมีอาการสงสัยต้องทำการตรวจวินิจฉัยเพิ่มเติม
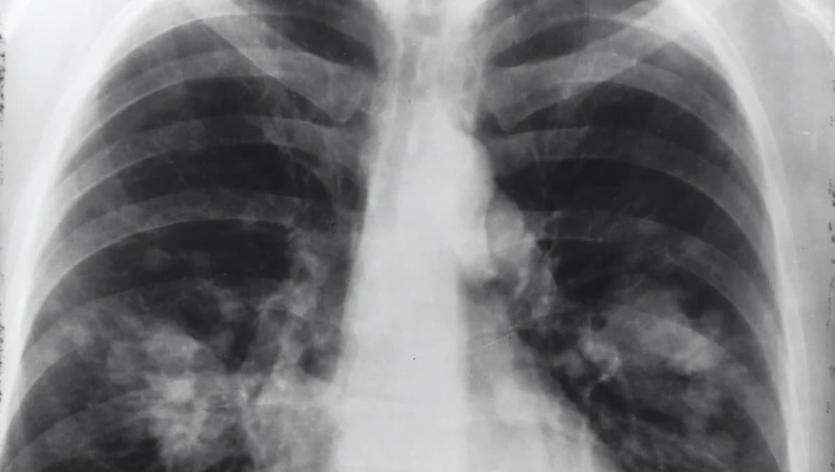
การวินิจฉัยโรคมะเร็งปอด ทำโดยการถ่ายภาพรังสีปอด (X-ray หรือ CT scan) ร่วมกับการตรวจหาเซลล์มะเร็งเช่นการตรวจจากเสมหะ หรือการตัดชิ้นเนื้อจากปอดมาตรวจ เมื่อพบว่าเป็นมะเร็งปอดแน่นอนแล้วแพทย์จะเป็นผู้ให้ข้อมูลเพื่อให้ผู้ป่วยและญาติร่วมตัดสินใจ โดยพิจารณาจากชนิดของมะเร็ง ระยะโรคและการลุกลาม ความแข็งแรงของผู้ป่วยเป็นหลัก สำหรับการรักษามีทั้งการผ่าตัด การใช้ยา การฉายแสง หรือรักษาร่วมกันหลายวิธี เนื่องจากมะเร็งปอดการตรวจคัดกรองให้พบโรคในระยะแรกทำได้ยาก และ มีอัตราตายสูง ดังนั้นการหลีกเลี่ยงปัจจัยเสี่ยงเช่นงดสูบบุหรี่ ป้องกันตัวจากการสัมผัสแร่ใยหิน หรือ มลภาวะ หลีกเลี่ยงอาหารไขมันสูง รับประทานผักผลไม้ให้มากขึ้น ออกกำลังกายสม่ำเสมอและพักผ่อนให้เพียงพอเพื่อเพิ่มภูมิคุ้มกันของร่างกาย และ รีบมาพบแพทย์เมื่อมีอาการผิดปกติจึงเป็นสิ่งสำคัญ











